I nostri lavori per il vostro sorriso
Il nostro sorriso non è qualcosa di statico e immutabile. Può essere notevolmente migliorato con le tecniche attuali.
Ci può capitare di guardarci allo specchio e non essere soddisfatti dell’immagine dei nostri denti. Magari pensiamo che la soluzione del problema possa richiedere tanto tempo e un grande impegno economico.
Forse non sappiamo che esistono delle nuove tecniche che ci permettono di migliorarli.
Casi clinici
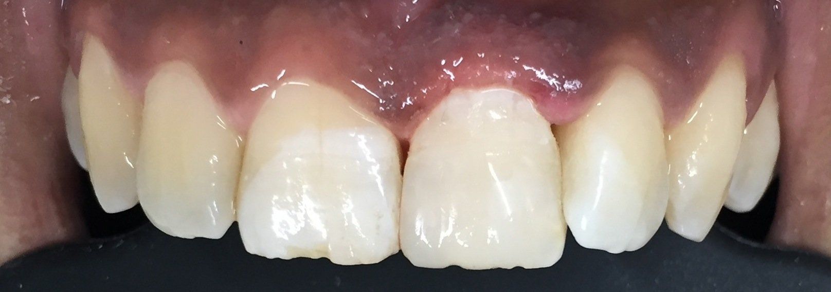
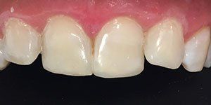
L’innesto gengivale è una tecnica che permette di ricoprire la radice esposta. È una procedura veloce (una sola seduta) con la quale si possono ottenere buoni risultati estetici. Yale ricopertura inoltre aumenta la durata del dente e riduce la sensibilità dentinale. Nella foto si nota la recessione gengivale del canino e dell’incisivo laterale. Dopo l’intervento le radici sono state completamente coperte ottenendo un ottimo risultato estetico.
























